犬のいびき? 呼吸困難|軟口蓋過長症の手術症例
はじめに
愛犬の呼吸が苦しそう…それ、軟口蓋過長症かも?
「いびきが大きくなった」「興奮時の呼吸が苦しそう」
そんな症状が見られる犬は、軟口蓋過長症を発症しているかもしれません。
このページでは、当院で実際に行った軟口蓋切除手術の症例紹介をもとに、
この病気の特徴や治療方法をわかりやすく解説します。
症例紹介
アメリカン・コッカーに多い軟口蓋過長症
症例:アメリカン・コッカースパニエル、11歳、避妊済みメス
主訴(来院理由)
- 散歩や興奮後に息が荒くなる
- 昨夜から呼吸が苦しそう
シグナルメント
- 体重:7.2kg
- 呼吸様式:努力性呼吸(興奮後にガーガーと呼吸が荒い)
- SPO2:80%前後 (正常は>95%) ⇒重度の低酸素血症
- 既往歴:僧帽弁閉鎖不全症、慢性腎臓病
検査と診断の流れ
診察所見

• 診察室でいびきのような呼吸音を確認⇒ 上部気道閉塞を疑う
• 鎮静剤を投与すると、呼吸状態が大幅に改善した(SPO2>95%に改善)
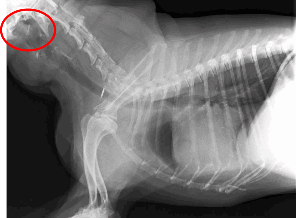
• 胸部レントゲン検査(図1)
肺や胸部の異常はみられませんでした。
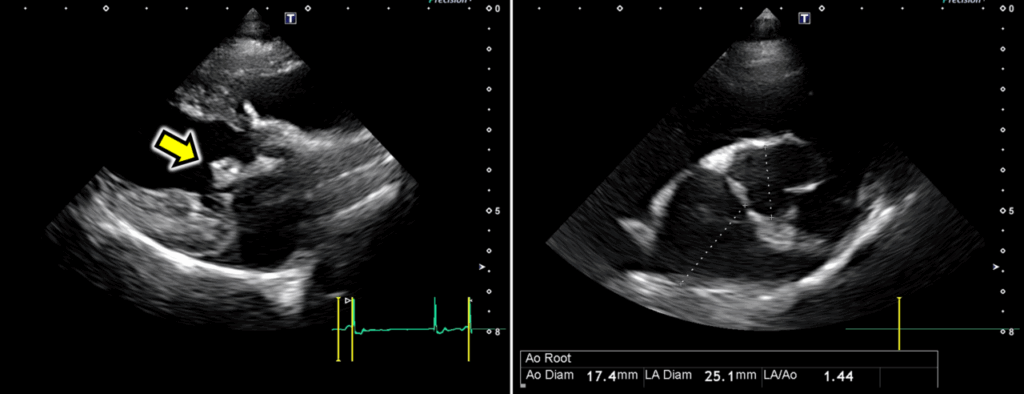
• 心エコー図検査(図2)

僧帽弁逆流が確認されましたが、左心房拡大はみられませんでした。
また、Mモード検査においてもLVIDDNは1.59であり、左心室拡大はみられませんでした。
これらのことから心不全や肺疾患ではなく、上部気道閉塞が呼吸器症状の原因であると考えました。
診断
軟口蓋過長症と確定診断

後日、全身麻酔下で喉頭を観察すると、長くなった軟口蓋が喉頭を完全に塞いでおり、息を吸い込めなくなっていることが解りました(図3)。
軟口蓋とは?
軟口蓋(なんこうがい)とは、喉の奥にある柔らかい膜状の組織で、
具体的には、口を大きく開けたときに見える、上あごの一番奥の柔らかいところを指します。
軟口蓋の役割とは?
空気の通り道と食べ物の通り道を分ける役割をしています。
・食べ物を飲み込むときに、鼻へ流れ込むのを防ぐ
・呼吸と飲み込みをうまく切り替える
軟口蓋過長症とは?
本来よりも軟口蓋が長くなってしまい、気道を塞いでしまう状態です。
これにより、呼吸が困難となり、ひどい時には低酸素血症を起こすことがあります。
特に短頭種(フレンチブルドッグ、パグ、ボストンテリア、シーズーなど)で多く見られます。
主な症状
- 苦しそうな呼吸(いびき、ガーガー音)
- 運動後や興奮時の呼吸困難
- ごはんを飲み込みにくそうにする
- 睡眠中の無呼吸
- 咳や吐き戻し
- 倒れることがある(重症例)
特に暑い時期や、運動後は悪化しやすく、命に関わるケースもあります。
治療
軟口蓋切除術(軟口蓋形成術)の手術内容

- 全身麻酔下で軟口蓋の余分な部分を特殊な電気メス(バイクランプ)を用いて切除(図4)
- 電気メスを使用しているので、ほとんど出血はありません
- 術後は酸素室で呼吸管理を実施
手術の目的とメリット
• 空気の通り道をしっかり確保することで
→ 呼吸が改善
→ いびきの軽減
→ 運動耐性や生活の質が向上
術後の経過と改善点
• 術後には喉の閉塞がなくなると、直ぐに呼吸がスムーズになりました。
• いびきの音も明らかに軽減
• 食欲・活動量ともに良好
• 術後2週間で再診しましたが、経過良好です。現在までに約1年が経過していますが、再発はありません。
飼い主さんへのメッセージ
「いびきがかわいい」で済ませていませんか?
いびきや呼吸の荒さは、単なる個性ではなく病気のサインであることも。
放置すると慢性的な酸素不足や、命に関わる呼吸困難を引き起こすリスクもあります。
早期発見・早期手術で生活の質は大きく向上
軟口蓋過長症は、手術によって根本改善が可能です。
「ちょっと気になるかも」と思ったら、
お気軽にご相談ください。
よくある質問(FAQ)
Q1. 軟口蓋過長症は自然に治りますか?
A1. いいえ。放置しても改善することはなく、むしろ悪化することが多いです。治療は外科手術が基本です。
Q2. 手術は高齢でも可能ですか?
A2. 年齢だけで判断せず、術前検査で全身状態を確認した上で手術の可否を判断します。11歳でも問題なく成功した例もあります。
Q3. 術後にまた再発することはありますか?
A3. 正しく切除すれば再発の可能性は低いですが、術後の経過観察が重要です。
まとめ
いびき・呼吸が苦しそうなら、軟口蓋過長症を疑って
いびき、息苦しさは病気のサインかも
軟口蓋過長症は外科手術で改善可能
早期の相談・治療が愛犬の生活の質を守ります
最新の投稿
ご相談・診療予約はこちら
※心臓病に関するご予約は、ネット予約ではなくお電話にてお問合せください。




